Este blog es para reforzar el aprendizaje de la asignatura de biología celular y tisular o histología a través de diferentes ejercicios. Si se te dificultan las preguntas o tienes problemas para la identificación de las imágenes, entra a los comentarios, plantea tu problema o duda y se te puede orientar para que puedas descubrir la respuesta.
martes, 20 de abril de 2010
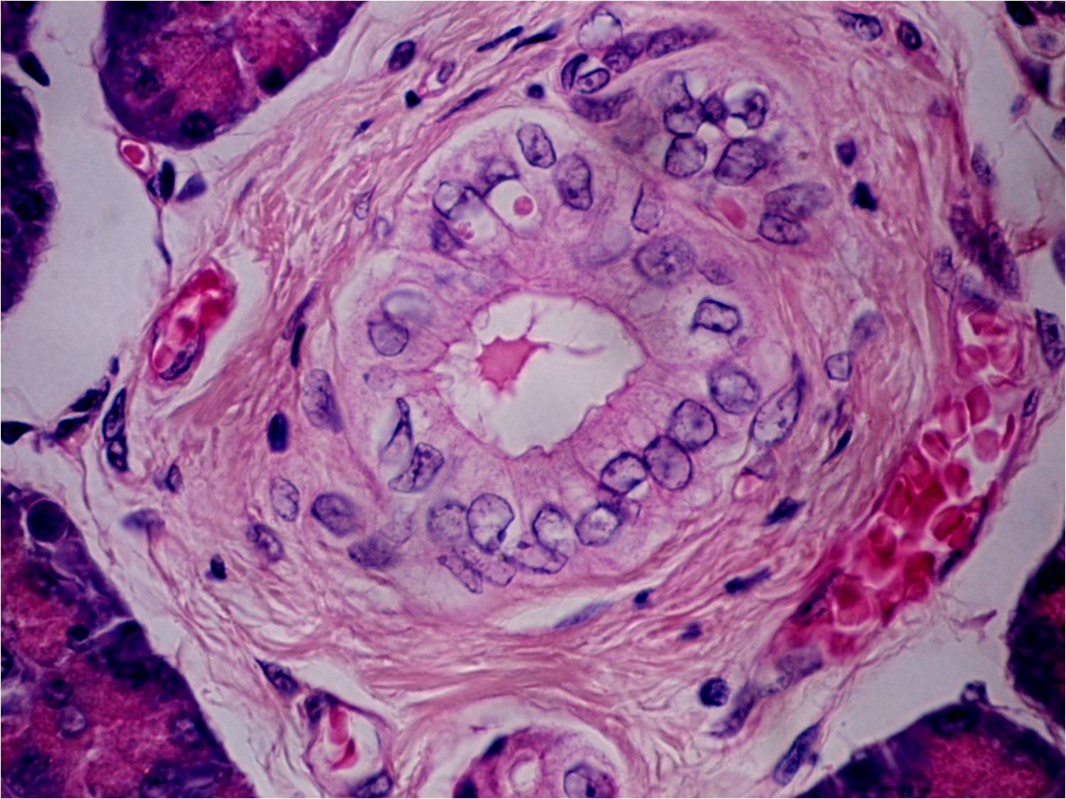
DIGESTIVO. PANCREAS
La estructura que observamos en el centro de la imagen es
SERA ACASO UNO INTERLOBULAR?
ResponderEliminarSi, es un conducto pancreático
ResponderEliminararteriola.
ResponderEliminar