Este blog es para reforzar el aprendizaje de la asignatura de biología celular y tisular o histología a través de diferentes ejercicios. Si se te dificultan las preguntas o tienes problemas para la identificación de las imágenes, entra a los comentarios, plantea tu problema o duda y se te puede orientar para que puedas descubrir la respuesta.
sábado, 27 de noviembre de 2010
TEJIDOS. OSEO / CARTILAGINOSO
Indica en el paréntesis la letra de la imagen que corresponda a cada enunciado.
( ) Está teñida con H/E
( ) Está teñida con Tricrómico de Masson
( ) De las lagunas se extienden los canalículos
( ) Se observa el pericondrio
( ) Tiene crecimiento intersticial
( ) Sobre la superficie de sus trabéculas se localizan los osteoblastos
( ) Tiene colágena II
( ) Está vascularizado
( ) Su matriz está mineralizada
( ) La matriz territorial tiene mayor cantidad de proteoglucanos que la interterritorial
( ) Los osteoclastos resorben su matriz
( ) Tiene condronectina
( ) Se calcifica con la edad
( ) Los estrógenos inhiben su crecimiento
( ) La paratohormona actúa sobre este tejido
lunes, 22 de noviembre de 2010
TEJIDOS. OSEO. DISPLASIA OSEA
Feto de 12 semanas de edad morfológica con acortamiento de las extremidades. Se muestra la placa radiográfica, la morfología del fémur y sus características histológicas.
¿Que tipo de displasia ósea puede ser?
Entra a los comentarios con tus propuestas o dudas y lo iremos resolviendo.
Observa la desorganización del cartílago de crecimiento, el anillo fibroso que lo comprime y el femur incurvado. ¿Que tipo de osificación estará alterada?
¿Que tipo de displasia ósea puede ser?
Entra a los comentarios con tus propuestas o dudas y lo iremos resolviendo.
Observa la desorganización del cartílago de crecimiento, el anillo fibroso que lo comprime y el femur incurvado. ¿Que tipo de osificación estará alterada?
jueves, 18 de noviembre de 2010
TEJIDOS. OSEO. OSIFICACION. CARTILAGO EPIFISIARIO
Indica en el paréntesis la letra de la zona del cartílago epifisiario que corresponda a cada enunciado
( ) Contiene condrocitos grandes con citoplasma claro ya que contienen abundante glucógeno
( ) Sobre las trabéculas cartilaginosas calcificadas se deposita matriz ósea
( ) Los condrocitos no se dividen activamente
( ) Los condrocitos sufren apoptosis
( ) Lo condrocitos se dividen y secretan matriz celular
miércoles, 17 de noviembre de 2010
TEJIDOS. OSEO. OSIFICACION 1
¿Qué tipo de osificación observas en la imagen?
Corresponde a este tipo de osificación
A. Así se osifica la mandíbula
B. El mesénquima se diferencia en tejido óseo
C. El tejido cartilaginoso se sustituye por tejido óseo
D. El tejido cartilaginoso se diferencia en tejido óseo
Corresponde a este tipo de osificación
A. Así se osifica la mandíbula
B. El mesénquima se diferencia en tejido óseo
C. El tejido cartilaginoso se sustituye por tejido óseo
D. El tejido cartilaginoso se diferencia en tejido óseo
TEJIDOS. OSEO. OSIFICACION
¿Qué tipo de osificación se observa en la imagen?
Corresponde a este tipo de osificación
A. Así se osifica el esternón
B. El mesénquima se diferencia en tejido óseo
C. El tejido cartilaginoso se diferencia en tejido óseo
D. El tejido cartilaginosos se sustituye por tejido óseo
Corresponde a este tipo de osificación
A. Así se osifica el esternón
B. El mesénquima se diferencia en tejido óseo
C. El tejido cartilaginoso se diferencia en tejido óseo
D. El tejido cartilaginosos se sustituye por tejido óseo
martes, 16 de noviembre de 2010
TEJIDOS. OSEO. CELULAS 1
Corresponde a la célula que indica la flecha
A. Se diferencia a partir del osteoblastos
B. Se activa cuando los niveles de calcio disminuyen en la sangre
C. Tiene receptores para la Paratohormona
D. Sus prolongaciones se encuentran en los canalículos
A. Se diferencia a partir del osteoblastos
B. Se activa cuando los niveles de calcio disminuyen en la sangre
C. Tiene receptores para la Paratohormona
D. Sus prolongaciones se encuentran en los canalículos
TEJIDOS. OSEO. CELULAS
lunes, 15 de noviembre de 2010
jueves, 11 de noviembre de 2010
TEJIDOS. OSEO. HUESO
¿Qué tipo de técnica o procedimiento se utilizó para obtener esta imagen?
¿Qué tipo de hueso es?
Indica la estructura indicada por las flechas con los números
1. _____________
2. _____________
3. _____________
4. _____________
¿Qué tipo de hueso es?
Indica la estructura indicada por las flechas con los números
1. _____________
2. _____________
3. _____________
4. _____________
TEJIDOS. CARTILAGO.CRECIMIENTO
![]() |
| Corte histológico de bronquio teñido con una modificación del Tricrómico de Mallory |
- La letra A indica crecimiento __________________ ¿Por qué?
- La letra B indica crecimiento __________________ ¿Por qué?
miércoles, 10 de noviembre de 2010
TEJIDOS. CARTILAGO
- ¿Qué tinción es?
- ¿Qué tipo de de cartílago es?
- Indica cual es la opción correcta correspondiente al tipo de cartílago de la imagen
A. Se localiza en las superficies articulares
B. Tiene colágena II y fibras elásticas
C. Crece por aposición
D. Carece de pericondrio
TEJIDOS. CARTILAGO
¿Qué tinción es?
¿Qué tipo de cartílago es?
¿Que tipo de crecimiento se observa en la imagen? ¿Por qué?
¿Qué tipo de cartílago es?
¿Que tipo de crecimiento se observa en la imagen? ¿Por qué?
martes, 9 de noviembre de 2010
TEJIDOS. CARTILAGO
En la imagen observamos un corte histológico de un tipo de cartílago.
B. Las fibras que se observan son de colágena I
C. Se localiza en la epiglotis
D. Carece de pericondrio
- ¿Que tinción es?
- Las fibras teñidas de negro son fibras _______________, por lo tanto es cartílago ____________.
- Indica la respuesta correcta para este tipo de cartílago
B. Las fibras que se observan son de colágena I
C. Se localiza en la epiglotis
D. Carece de pericondrio
TEJIDOS. CARTILAGO
- Esta imagen es de un corte histológico de cartílago teñido con ___________________
- El tipo de cartílago que se observa es _________________
- Corresponde a este tipo de cartílago
B. Forma el esqueleto embrionario
C. Tiene abundantes fibras de colágena tipo I
D. Tiene abundantes fibras elásticas
lunes, 8 de noviembre de 2010
AVISO: ENTRADAS DE TEJIDOS NERVIOSO
Si quieres consultar imágenes y preguntas del tejido nervioso búscalas en las entradas del mes de noviembre del 2009.
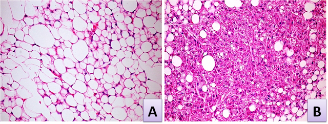
TEJIDOS. ADIPOSO
Indica en el paréntesis, con la letra correspondiente, el tipo de tejido adiposo al que se refiera cada enunciado.
( ) Desaparece posnatalmente
( ) Tiene una distribución particular dependiendo del sexo
( ) En sus células hay más mitocondrias
( ) Se denomina grasa parda
( ) Se denomina grasa blanca
( ) Es unilocular
( ) Es multilocular
( ) Aísla del frío
( ) Genera calor
( ) Tiene receptores para la insulina
( ) Tiene termogeninas en sus mitocondrias
( ) Se sitúa alrededor de los vasos
Suscribirse a:
Entradas (Atom)














