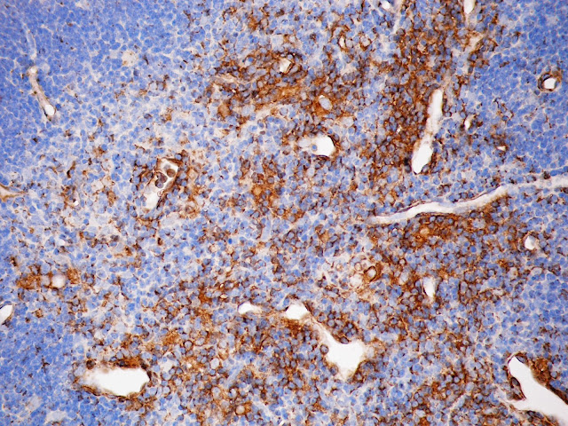
En esta imagen la citoqueratina 8 se ve marcada de color café. La técnica utilizada fue
A. Azul de toluidina
B. Inmunohistoquímica
C.Impregnación metálica
D. PAS
Imagen cedida por la M. en C. Martha Luz Ustarroz Cano. Profesora del Departamento de Biología Celular y Tisular. Facultad de Medicina. UNAM
B
ResponderEliminarMuy bien Alex
ResponderEliminarB. Inmunohistoquímica
ResponderEliminar